Láser Tulio 1927 nm para pigmento, textura y rejuvenecimiento
Está indicado para melasma y léntigos, poro y retexturización, arrugas finas y fotoenvejecimiento, cicatrices y estimulación capilar, ofreciendo sesiones rápidas y efectivas.

Resultados que importan para tu clínica estética








Indicaciones y protocolos sugeridos
Cómo actúa el láser Tulio 1927 en la piel
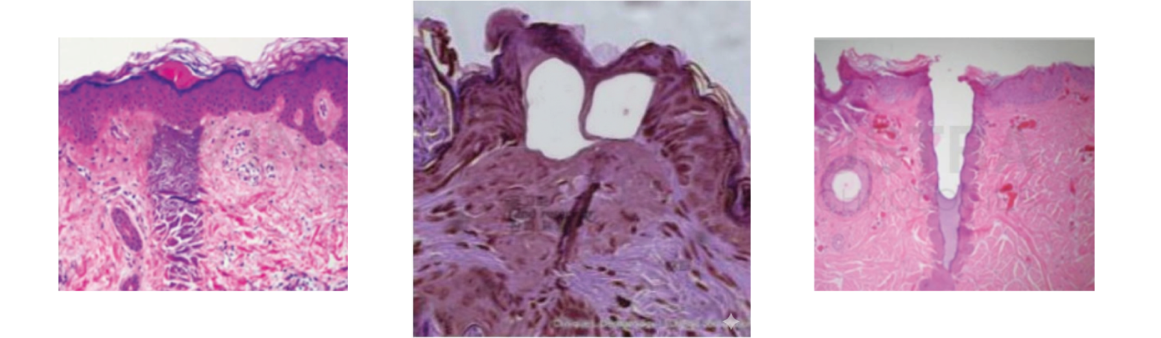
Estimulación de colágeno y elastina: El depósito térmico focalizado desencadena respuesta reparativa con neocolagénesis y neoelastogénesis, mejorando firmeza y luminosidad progresivamente en las semanas posteriores.
Microcanales para drug delivery: Las microcolumnas dejan microcanales transitorios que facilitan la penetración de activos tópicos seleccionados, optimizando protocolos combinados en discromías y retexturización.
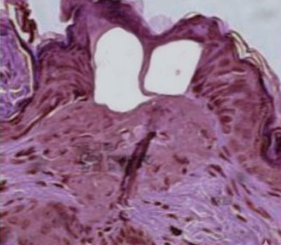
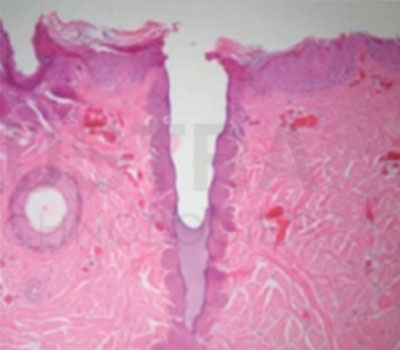
Control y seguridad del tratamiento: La plataforma permite modular energía, densidad y patrón para adaptar el tratamiento a fototipo y zona. El endpoint clínico deseado es eritema medio con edema leve, manteniendo la integridad de los tejidos circundantes y minimizando la inactividad.



Tratamiento en acción
Observa la estabilidad del disparo y el endpoint clínico esperado (eritema medio+edema leve).
Requiere consentimiento informado, piel limpia y seca y protección ocular específica 1927 nm.
Seguridad y evidencia clínica
Piel limpia y seca antes de tratar por su alta absorción en agua; realiza test spot y busca endpoint de eritema medio+edema leve.
En fototipos altos o piel reactiva usa protocolos conservadores y espacia sesiones.
Evita tratar sobre piel bronceada o con irritación activa; extrema la fotoprotección estricta pre y post.
Protección ocular específica 1927 nm para paciente y equipo; evacuación de humos en cabina.
Uso reciente de isotretinoína: la literatura clásica recomienda evitar láseres / dermoabrasión durante y hasta 6 meses tras su uso; consensos recientes permiten ciertos láseres con cautela.
Individualiza y documenta cada caso.
Herpes simple recurrente en área a tratar sin profilaxis, implantes/rellenos recientes en la zona, expectativas irreales.
Para reforzar decisiones, revisa la evidencia publicada sobre láser tulio 1927 nm en discromías epidérmicas, fotoenvejecimiento, textura y cicatrices superficiales, incluyendo su perfil de seguridad, tiempos de recuperación y riesgo de PIH por fototipo.
Cabezales de láser Tulio 1927 nm


- Lesiones pigmentadas puntuales
- Cicatrices
- Párpado inferior
- Queratosis planas
- Tratamiento de acné inflamatorio
Especificaciones técnicas de Láser Tulio 1927
El Láser Tulio 1927 es un láser fraccional de fibra diseñado para trabajar ablativo o subablativo según energía, con alta absorción en agua para actuar de forma precisa en epidermis y dermis superficial. Incorpora cabezal estático (matrices 3×3 a 20×20 mm) y dinámico con rodillos y detección magnética, lo que permite entregar cobertura homogénea en barridos rápidos y controlados.
El sistema integra escáner regulable con control de superficie de 1×1 a 20×20 mm, distancia entre puntos 0,5–2,0 mm (pasos de 0,1 mm) y ajuste fino de parámetros para modular densidad de microcolumnas, depósito térmico y tiempos de recuperación. Chasis compacto (44×43×18 cm) y 14,5 kg para fácil instalación en consulta.
Con esta arquitectura, Tulio 1927 facilita resurfacing superficial controlado, drug delivery mediante microcanales y mejora de pigmento, textura y finas arrugas con perfiles de recuperación cortos.
Láser de tulio
1927 nm con entrega por fibra; trabajo fraccionado ablativo/subablativo según energía
10–40 W
1–200 mJ
0,1–20,0 ms (pasos de 0,1 ms).
0,5–2,0 mm con control fino en pasos de 0,1 mm.
14,5 kg
44×43×18 cm

Formación y soporte clínico
Sesiones iniciales y de reciclaje para tu equipo, con acreditación y materiales descargables.
Acceso a una base viva de protocolos clínicos por indicación y fototipo, lista para imprimir o integrar en tu flujo.
Resolución de dudas sobre parámetros, casos y cuidados post, con escalado a especialista cuando sea necesario.
Calendarios programados, chequeos de seguridad y reparaciones in situ o en taller según proceda.
Disponibilidad de consumibles y piezas originales, con trazabilidad.
Hasta 7 años de garantía: la tranquilidad de elegir cómo proteger tu equipo.
Tiempos de respuesta < 8h y de resolución < 48h comprometidos, con seguimiento y parte técnico de cada incidencia.
Desde la instalación y validación clínica hasta la optimización del servicio y actualización de protocolos.
ROI y modelo de negocio
Opciones de adquisición y estimación de precios
Y te ofreceremos varios escenarios — conservador, base y ambicioso — para planificar la implantación del tratamiento con láser Tulio 1927 nm en tu clínica.
¿Por qué láser Tulio 1927 te interesa para tu clínica médico-estética frente a otras alternativas?
Longitud de onda 1927 nm con elevada absorción en agua para trabajar principalmente en epidermis y dermis superficial con control térmico.
Pieza estática para áreas localizadas y rodillos dinámicos para barridos homogéneos en rostro, cuello y escote; ergonomía orientada a consulta.
Ajuste de energía, densidad y spacing permite elegir entre microcolumnas subablativas o ablativas, adaptando intensidad y downtime al objetivo.
Los microcanales transitorios facilitan la penetración de activos tópicos seleccionados, potenciando protocolos para discromías y retexturización.
Léntigos y HPI epidérmico, melasma controlado, poro y textura, arrugas finas, cicatrices superficiales y estimulación capilar.
Escáner 1×1–20×20 mm y spacing 0,5–2,0 mm con pasos finos; test-spot y endpoint clínico de eritema medio+edema leve para guiar la sesión.
Chasis reducido y equipo ligero que facilita la instalación y el flujo de trabajo en cabina sin comprometer prestaciones.
Mejora visible de pigmento y textura con tiempos de recuperación contenidos y un perfil de eventos adversos manejable bajo criterios médicos.
Preguntas frecuentes
¿Qué tiempo de inactividad debo esperar?
Depende de objetivo y parámetros. En Tulio 1927 nm fraccional, el downtime suele ser corto: de horas a pocos días; protocolos más intensos pueden generar microcostra 3–5 días.
¿Es apto para fototipos altos?
Sí, con prudencia: energías/densidades conservadoras, mayor espaciado y fotoprotección estricta para minimizar PIH.
¿Qué analgesia es recomendable?
Generalmente tópica (lidocaína/tetracaína). En zonas sensibles o intensidades altas, anestesia local según criterio médico.
¿Se puede combinar con otras tecnologías?
Sí, tras valoración y secuenciación correcta; útil con tópicos por drug delivery, PRP o mesoterapia. Evita solaparlo con procedimientos ablativos recientes.
¿Sirve para tatuajes o Carbon Peel?
No. Para tatuaje se recomiendan plataformas Q-switched/picosegundos; el Carbon Peel es propio de 1064 nm con carbón tópico.
¿Qué mantenimiento requiere?
Limpieza de ópticas y puntas, chequeos periódicos, calibración y verificación de seguridad en sala (gafas 1927 nm, evacuación de humos).
¿Qué garantía incluye?
Garantía estándar ampliable; consulta condiciones de compra/renting/leasing de tu oferta comercial.
¿Cuál es el coste por sesión?
Depende de tiempo de cabina y fungibles (anestesia tópica opcional, mascarilla calmante, fotoprotección). Estímalo con una calculadora de ROI (precio × sesiones/mes − costes variables − cuota si renting).
¿Qué curva de aprendizaje tiene?
Protocolos tipo, test-spot y endpoints claros (eritema medio+edema leve) facilitan una adopción rápida; la formación reduce la variabilidad.
¿Cómo se gestionan las complicaciones?
Actúa precozmente ante eritema prolongado/PIH o irritación: baja parámetros, pauta fotoprotección estricta y tópicos calmantes/antipigmento; valora profilaxis HSV en zonas de riesgo.
¿Qué intervalos entre sesiones son recomendables?
Orientativamente: pigmento 2–4 semanas; textura/retexturización 6–8 semanas, ajustando a respuesta clínica y fototipo.
¿Qué documentación entregáis?
IFU, protocolos clínicos, consentimientos, checklist de seguridad y acceso a formación/soporte.
Descargas profesionales
Solicita demo o presupuesto
Láseres y tecnologías avanzadas para medicina estética
Desde el rejuvenecimiento fraccionado y la corrección de cicatrices hasta la lipólisis mínimamente invasiva, la eliminación de pigmento y la fotomedicina, nuestros equipos cubren las principales indicaciones en medicina estética.

CO2 FRAC (láser CO2 fraccionado)

Láser Picoláser MD350

Endoderm Láser (fibra 1470 nm + 980 nm)

Láser de Tulio





